Egy új kutatás eredményei szerint a kannabinoidokra nagy jövő várhat a rákellenes gyógyászatban.
Egy új kutatás eredményei szerint a kannabinoidokra nagy jövő várhat a rákellenes gyógyászatban.
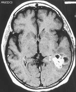
Korábbi állatkísérletek pozitív eredményeit igazolta az a madridi kutatás, amely szerint a THC képes megfékezni az agydaganatok legagresszívabb, legrosszindulatúbb típusának, a gliobastoma multiformé-nak (GBM) a terjedését. A madridi Complutense Egyetem kutatói intratumorális THC injekciókat adtak olyan pácienseknek, akik korábban nem reagáltak a hagyományos kezelési módszerekre (sebészeti beavatkozás vagy kemoterápia). A páciensek közül kettőnél jelentős csökkenést tapasztaltak a tumorsejtek burjánzásában. A kutatók nem nyilvánítottak véleményt abban a kérdésben, vajon a kannabisz pozitívan befolyásolta-e a páciensek túlélési esélyeit, mindenesetre a két személy egy évvel élte túl a terápiát (az átlagos túlélési idő a GBM betegeknél diagnózis után legfeljebb hat-tizenkét hónap). A frissen diagnosztizált betegek ennél jobban reagálhatnak a kezelésre.

„A gliobastoma multiforme a gliomák legrosszabb indulatú típusa, igen agresszív, gyorsan növekedő, legkevésbé differenciált, változatos megjelenésű és terápiásan nehezen befolyásolható daganat. A gliomák több mint fele ilyen daganat. Bármely életkorban jelentkezhet, de 35-45 éveseknél a leggyakoribb. Előfordul, amikor a glioma kezdettől ilyen rosszindulatú formában lép fel, gyakrabban viszont a jobb indulatú gliomákból fokozatosan alakul ki ez a típus. Rendszerint a nagyféltekében, leginkább a homloklebenyben keletkezik. Az agyban elhalások, bevérzések láthatók. Sajnos a beteg életkilátásai a leírtakból eredendően nem jók. E daganatféleség a jelenleg elérhető onkológiai kezelési módok kombinált alkalmazásával sem igazán befolyásolható.”
Dr. Lapis Károly, A központi idegrendszer daganatai, 18. old.
A vizsgálat kiderítette, hogy a THC-nak jelentős antiproliferatív hatása van, tehát gátolja a laboratóriumi körülmények között tenyésztett GBM sejtek burjánzását. „A THC alkalmazásának meglehetős biztonságossága, illetve a tumorsejtekre gyakorolt potenciális antiproliferatív hatása, amit ez a kutatás és más kutatások is kimutattak, megalapozhatja a jövőbeni vizsgálatok szükségességét, amelyek a kannabinoidok potenciális tumorellenes hatását vizsgálják,” következtettek a kutatók. 2005-ben a san fransisco-i Pacific Medical Center kutatóintézet tudósai számoltak be arról, hogy THC gátolja a rákos sejtek burjánzását illetve a GBM sejtek elhalásához vezet. Az egészséges sejtekre ezzel szemben a THC semmilyen hatást nem gyakorolt. Ezek az új felfedezések annak fényében tovább növelik a kannabinoidok gyógyászati alkalmazásának potenciálját a rákos betegek kezelésében, ha egybevetjük őket a THC eddig is közismert hányinger-csillapító és étvágynövelő hatásával, ami fontos szerepet tölt be a végső stádiumban lévő betegek pallitatív gondozásában.
Sárosi Péter
Kapcsolódó cikkek:
Sativex: áttörés a marihuána-gyógyászatban





